
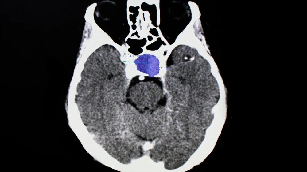
什麼是垂體瘤(垂體腺瘤)?
垂體瘤(垂體腺瘤) 是指腦下垂體內的非癌症性增生,而腦下垂體在調節各種身體功能所需的荷爾蒙方面扮演關鍵的角色。此症狀的生物學基礎可追溯至細胞代謝的生化異常。這些腫瘤可能特別表現出 沃伯格效應在這種情況下,細胞會展現出對葡萄糖的高度依賴,消耗葡萄糖的速度比正常高出 200 倍。
就發病率而言,垂體腺瘤約佔顱內腫瘤的 10%。全球數據顯示不同的發病率,某些人口族群的發病率稍高。在香港和更廣泛的亞洲地區,發病率與全球統計數據一致,但可能因地區特有的健康挑戰而更為複雜。
這些腫瘤通常會影響成年人,但任何年齡的人都有可能患上,不過通常會在 30 到 50 歲的人身上被診斷出來。對患者的情緒和身體影響可能很大,症狀包括頭痛、視力障礙和荷爾蒙失調,導致情緒困擾和生理變化。
在香港和亞洲,文化和遺傳因素可能會進一步影響垂體瘤的發病率和表現。在進行診斷和治療時,了解這些細微的差異至關重要。如需深入瞭解癌症生物學,請考慮瀏覽我們的癌症生物學教育網頁.
垂體瘤(垂體腺瘤)的成因和風險因素
瞭解 垂體瘤(垂體腺瘤)的成因 和風險因素對於有效的管理和預防是非常重要的。遺傳傾向也扮演一定的角色,因為已觀察到家族聚集性,暗示可能涉及遺傳基因突變。與乳癌中的 BRCA1/2 基因突變或肺癌中的表皮生长因子受體突變不同,所有垂體腺瘤的特定基因標記都不太清楚,但仍是積極研究的領域。
環境和生活方式因素也會造成風險。舉例來說,肥胖是許多荷爾蒙相關疾病的已知風險因素,可能會影響垂體腺瘤的發展。此外,新陳代謝的弱點,例如某些細胞對特定營養素的依賴性,如谷氨酰胺,對於約 50% 的癌細胞的核苷酸合成至關重要,突顯了飲食、新陳代謝和腫瘤發生的複雜互動關係。
就地區而言,在像香港這樣的地方,乙型肝炎的流行對肝癌有很大的影響,因此全面了解當地的流行病學數據至關重要。這種了解可以有效地指導針對性的篩查和預防策略。
對於高風險類別的個人或有相關症狀的個人,強烈建議進行早期篩檢。這種前瞻性的方法可以及早介入,顯著改善結果。如需更多資訊,請參考可信的資源,例如世界衛生組織 (WHO) 和國家癌症研究所.
垂體瘤(垂體腺瘤)的症狀
垂體瘤 (Pituitary Adenoma) 的症狀會因腫瘤大小、荷爾蒙分泌狀態、生長模式和整體生物活性而有顯著差異。瞭解這些症狀可以及早診斷,並促進更好的治療效果。患者通常會出現不同的症狀,反映出腫瘤獨特的荷爾蒙紊亂和身體壓迫效應。
常見症狀:
頭痛:持續性、進展性頭痛通常是由於顱內壓增高所致。
視力問題:視力模糊、復視(雙重視力),或因視神經受壓而導致周邊視力下降。
疲勞:荷爾蒙失調引起的持續性、不明原因的疲勞。
噁心和嘔吐:偶爾由於腫瘤快速生長或頭痛劇烈。
荷爾蒙失衡:根據分泌或缺乏的荷爾蒙而顯著不同。
荷爾蒙特定症狀:
催乳素瘤(催乳素過多):
婦女:月經週期不規則或閉經、半乳閉經(乳汁分泌異常)、不孕。
男性:性慾降低、勃起功能障礙、婦科乳房發育(乳房增大)。
生長荷爾蒙分泌腺瘤 (肢端肥大症):
手腳變大、臉部特徵變厚。
多汗、關節疼痛、心血管併發症。
ACTH 分泌腺瘤(庫欣氏症):
軀幹周圍體重增加、肌肉無力、皮膚變薄並有紫色條紋。
高血壓、高血糖、情緒障礙。
TSH 分泌腺瘤 (罕見):
甲狀腺功能亢進症狀,包括體重下降、顫抖、心悸、熱不耐受。
非功能性腺瘤(不分泌激素):
早期通常無症狀,後期可能會引起頭痛、視力障礙和壓力症狀。
垂體功能不全,表示缺乏重要的荷爾蒙。
對於出現垂體瘤 (Pituitary Adenoma) 徵狀的患者,早期發現對成功治療和改善預後大有幫助。迅速進行醫療評估,並向專門診治腦下垂體疾病的內分泌學家和神經外科醫生進行適當諮詢,是非常重要的。
垂體瘤(垂體腺瘤)的分期和存活率
與許多其他有標準分期標準的癌症(如乳癌或結腸直腸癌)不同,垂體腺瘤通常不遵循傳統的癌症四期模式。相反地,它們的分期通常是根據腫瘤的特徵來分類,例如大小、生長、侵襲性和荷爾蒙活性。然而,存活機率和治療方法取決於這些特徵,對於病患的管理至關重要。
第 1 期 - 早期垂體腺瘤
這些腫瘤通常體積小 (< 1公分)、非侵入性、荷爾蒙分泌很少或完全沒有。症狀可能很輕微,通常是偶然發現或由輕微的荷爾蒙紊亂引起。
治療通常包括觀察或藥物治療,以抑制生長或控制荷爾蒙分泌。
如果症狀或荷爾蒙活性惡化,可考慮手術治療。早期發現腫瘤時,手術成功率超過 95%。
五年存活率或腫瘤控制率接近 90-95%,表示預後狀況極佳,有效治療的空窗期很寬。
第 2 期 - 中度垂體腺瘤
這些腫瘤的大小在 1 公分到 2 公分之間,可能會輕微侵入周圍結構。症狀較為明顯,包括荷爾蒙不正常、視力問題或經常性頭痛。
治療方法通常包括手術切除或剝離腫瘤,必要時結合針對性的藥物或放射治療。
在香港和亞洲主要城市的大多數醫療中心,五年的存活率和腫瘤控制率仍保持在 80-90% 左右。
密切的術後追蹤對於監測荷爾蒙水平和腫瘤復發非常重要。
第 3 期 - 晚期垂體腺瘤
晚期腺瘤超過 2 公分,可侵入周圍的解剖結構 (例如:腔隙竇、硬腦膜、視交叉),產生明顯的臨床問題,例如:顯著的視力障礙、頭痛和複雜的荷爾蒙功能障礙。
典型的多模式治療(手術切除-通常因為周圍的侵襲而部分切除-加上放射線治療和積極的內科治療)。
五年後的腫瘤控制率和疾病穩定率會降低,介於 50-75% 之間,視侵襲的嚴重性和廣泛性以及荷爾蒙控制的療效而定。
適當的內分泌治療對於控制荷爾蒙症狀和避免併發症是非常必要的。
第 4 期 - 侵襲性/轉移性垂體腺瘤或癌 (罕見)
侵襲性或轉移性垂體腺瘤(稱為垂體癌)極為罕見。這些腫瘤會廣泛轉移,通常會轉移到中樞神經系統,偶爾也會轉移到肺部或肝臟等遠端器官。臨床症狀和處理非常複雜。
全身性化學治療、放射線治療和嚴謹的荷爾蒙調節是治療的主要方式,但長期的疾病管理仍具挑戰性。
這些罕見病例需要全港各專科癌症護理中心提供全面的跨專業服務。
歷史存活率資料顯示結果差異很大;通常,垂體癌的五年存活率差異很大,平均約為 20-40%,取決於多種因素和對治療的反應。
隨著標靶治療和代謝治療的進展,包括由MD Anderson和all cancers聯盟等機構的頂尖腫瘤學研究支持的創新,晚期腫瘤的預後持續改善。事實上,目前正在進行的臨床試驗目標遠大,希望在 2025 年之前,即使是具有挑戰性的垂體腫瘤,也能轉化為可控制的慢性疾病。
垂體瘤 (Pituitary Adenoma) 的診斷與預期壽命
**垂體瘤 (Pituitary Adenoma) 診斷**涉及數種先進的技術,目的在於識別和了解腫瘤的性質和發展。診斷這些腫瘤的準確性對於有效的管理和治療至關重要。各種診斷方法可確保對腫瘤特性的全面評估和精確洞察,這對制定治療策略至關重要。
先進診斷技術
傳統的造影技術如**MRI(磁力共振掃描)**是檢測**垂體瘤(垂體腺瘤)**的基礎,因為它們在建立軟組織(如垂體)的詳細影像方面表現卓越。**MRI** 仍然是檢視垂體腺瘤、界定其大小以及評估其是否影響周圍結構的黃金標準。
此外,**PET-CT (Positron Emission Tomography-Computed Tomography) **也可能用於某些病例。這有助於顯示腫瘤的新陳代謝活動,提供額外的洞察力。這對於區分垂體腺瘤和其他腦部病變尤其有用。
液體活檢與基因檢測
液體活檢**是一項新興的診斷創新。與傳統的活檢方法不同,液體活檢是微創的,利用血液樣本來檢測和分析腫瘤衍生的物質,包括 DNA。液體活檢有助於識別基因突變,從而深入瞭解**腫瘤亞型**、潛在**惡性程度**和治療反應性。例如,篩檢特定的**基因突變**可以引導預後和潛在的治療干預。
影響預後和預期壽命的因素
垂體瘤 (Pituitary Adenoma)** 患者的預期壽命會因各種因素而有顯著差異:
** 診斷時的階段:** 較早期的腫瘤通常預後較好。
** 腫瘤遺傳學:** 某些遺傳突變可能暗示腫瘤更具侵略性或對治療有抗藥性。
**患者健康:**整體健康和併發症在決定不同治療的結果和耐受性方面起著關鍵作用。
透過定期的追蹤進行動態監測,有助於追蹤腫瘤的發展情況,並在必要時調整治療方案,以大幅改善療效和生活品質。
垂體瘤(垂體腺瘤)的治療方案
垂體瘤 (Pituitary Adenoma) **的治療是動態的,並根據腫瘤的特性、位置和患者的整體健康狀況量身打造。隨著技術和研究的進步,目前已有各種治療方式可用來控制和緩解這些腫瘤的影響。
手術方式
**手術**通常是治療**垂體瘤 (Pituitary Adenoma) **的主要方法,尤其是當腫瘤壓迫重要結構或造成顯著症狀時,例如視力受損。透過鼻腔移除腫瘤的***經蝶鞍手術等技術是微創手術,由於恢復時間縮短且併發症發生率較低,因此普遍受到青睞。
放射治療
當手術不可行,或手術後仍有殘留的腫瘤細胞時,**放射治療**就會發揮作用。立體定向放射手術**等技術的進步,可進行高度針對性的放射,將對健康腦組織的傷害降至最低。這種治療方式對於有效控制腫瘤生長非常重要。
藥物治療
對於分泌荷爾蒙的垂體腺瘤,**醫療管理**可能是必要的。
標靶與先進治療
新興療法著重於腫瘤的分子和代謝漏洞。**代謝療法**針對腫瘤對葡萄糖和穀胺的依賴,目的是擾亂腫瘤的能量供應。例如,抑制**GLUT1/3 轉運體**可有效斷絕腫瘤增殖所需的葡萄糖,為輔助治療提供有前景的途徑。
個人化治療計畫
個人化治療是最重要的。腫瘤的基因分析可讓腫瘤科醫生針對特定突變制定個人化的治療計畫。這種量身訂做的策略可針對腫瘤的獨特側寫和病患特有的變數,將焦點放在最有可能成功的療法上,從而獲得更好的療效,並提高病患的生活品質。
香港及亞洲的考慮因素
在**香港**和更廣泛的**亞洲**等地區,就醫機會和選擇可能有限,影響治療選擇。因此,探索**跨境醫療保健選擇**,並隨時瞭解鄰近地區先進醫療保健設施所提供的治療可能性,以確保提供全面的照護,是非常重要的。
鑑於這些複雜性,知情、體恤的方法的重要性再怎麼強調也不為過。每位病患的病程都是獨一無二的,而病患與醫療照護專業人員之間的持續對話,可確保每個人都能獲得符合其特定需求與情況的最佳照護。
若要進一步瞭解**垂體瘤 (Pituitary Adenoma)**的治療和進展,您可以瀏覽我們關於 [新興癌症療法](#) 的詳細章節。
傳統治療垂體瘤(垂體腺瘤)的局限性
治療 垂體瘤(垂體腺瘤) 使用傳統療法通常會面臨一些限制和挑戰,尤其是在以下方面 垂體瘤(垂體腺瘤)傳統治療方法.患者和臨床醫師必須權衡這些干預所帶來的好處與顯著的副作用和風險。
化療併發症和風險
化療是治療垂體腫瘤的常用方法之一。然而,化療的使用充滿併發症。將近 78% 的患者面臨骨髓抑制的風險,這會導致貧血、感染易感性增加和出血。此外,約有 23% 的患者會承受心臟毒性,這個驚人的統計數字值得在開始治療前加以考慮。
化療固有的高毒性導致了無數的挑戰,包括
疲勞: 普遍存在的副作用,嚴重影響生活品質。
噁心和嘔吐: 常見,導致脫水和營養不足。
罹患繼發性癌症的風險: 根據 腫瘤學期刊 2023 年,化療可增加罹患繼發性癌症的風險高達 300%。
放射治療:組織損傷與長期風險
放射治療 是治療下列疾病的另一基石 垂體瘤(垂體腺瘤).雖然它能有效縮小腫瘤和控制腫瘤生長,但也有很大的風險,主要是由於附帶的組織傷害。
接受放射治療的病患可能會遇到幾個問題,例如
組織損傷: 周圍的健康組織可能會受到影響,導致長期的不良後果。
認知障礙: 可觀察到認知功能下降,在治療腦部相關腫瘤時尤其令人擔憂。
內分泌失調: 腦下垂體的關鍵功能會受到損害,導致荷爾蒙失衡。
手術風險:感染與併發症
可以採用手術切除垂體腺瘤,但這種方法並非沒有重大風險。術後併發症引起的感染是一個顯著的風險,而腦下垂體手術的複雜性增加了併發症發生的可能性。
具體而言,手術治療可能導致:
感染風險: 手術會打開細菌進入的通道,造成手術後嚴重感染的風險。
荷爾蒙失調: 垂體荷爾蒙的微妙平衡可能會被破壞,因此必須終身接受荷爾蒙替代治療。
腫瘤復發: 去除不完全可能會導致再生,需要額外的治療。
晚期垂體瘤 (垂體腺瘤) 的療效較低
傳統療法的一大限制是治療晚期腫瘤的療效往往很低。許多患者會經歷 客觀回應率 在處理轉移性疾病時,腫瘤發生率低於 21%。這突顯了改善治療策略以處理晚期病例的迫切需要。
代謝抵抗機制
有效利用傳統療法的關鍵障礙之一是 代謝抵抗 的癌細胞。這些細胞透過基因適應,會增加其 DNA 修復酵素的活性400%,使藥物嘗試根除它們的努力受挫。
這種機制使治療變得複雜,因為:
增強的維修能力: 腫瘤細胞會迅速修復化療和放療所造成的傷害,降低療效。
適應性新陳代謝: 癌細胞會快速調整新陳代謝,以便在藥物治療或輻射等致命的外部傷害下存活。
這些 垂體瘤(垂體腺瘤)治療的副作用 在病人接受傳統治療前,有必要進行全面檢視。
香港和亞洲特有的挑戰
的治療限制 垂體瘤(垂體腺瘤) 在香港及亞洲等地區,這些問題尤其顯著,因為在這些地區,獲得最先進療法的機會可能有限,而且傳統的風險因素也不盡相同。這些人口特有的醫療狀況和生活方式因素的普遍性,需要顛覆傳統假設的量身訂做方法。
具體而言,觀察到以下挑戰:
醫療照護存取的差異性: 在獲得優質醫療照護方面的差異會對及時有效的治療造成障礙。
種族變異: 遺傳傾向會影響療效和新陳代謝,使某些族群對傳統療法更有抵抗力或更脆弱。
總結
傳統治療方法對 垂體瘤(垂體腺瘤) 突顯出對創新、個人化治療策略的迫切需要。利用對癌症生物學的深入瞭解,並針對這些細胞的新陳代謝弱點,對於開發副作用較少且更有效的治療方案至關重要。當務之急是持續進行研究,以彌補這些差距,透過創新為受影響的病患帶來希望和同情。
探索我們的詳細資料,瞭解更多關於先進治療和新興治療方法的資訊。核心治療頁。
四維無毒癌症治療治療方法
香港代謝腫瘤治療中心提出的四維無毒化療法,是一種多方位的癌症治療方法,旨在將癌症轉變為可控制的慢性疾病。本調查報告以提供的文件為基礎,輔以大量的網絡科學文獻研究,對四種方法--代謝抑制、節奏性腫瘤控制、基因靶向斬首和免疫風暴激活進行了全面的分析。分析內容包括科學原理、臨床證據和潛在挑戰,並提出口號和標語。
代謝抑制
摘要與機制:此方法針對癌細胞新陳代謝的弱點,特別是它們對葡萄糖、穀胺和脂質合成的依賴。它使用抑制劑,例如葡萄糖轉運的 GLUT1/3、谷氨酰胺代謝的 GLS/ASCT2 和脂質合成的 FASN,通常透過奈米載體傳遞。AI 驅動的營養調節可提高精確度,目的是誘發 ATP 危機並削弱癌細胞。文件聲稱 82% 可減少腫瘤的葡萄糖攝取,79% 可減少血漿穀胺,91% 可減少膜磷脂合成。
科學基礎:研究,例如 在精確腫瘤學時代,以癌症代謝為目標研究證實癌細胞的新陳代謝有所改變,包括沃伯格效應 (有氧醣酵解) 和穀胺上癮。GLUT1/3 和 GLS 等抑制劑正在研究中,研究人員在 細胞代謝 (2023) 顯示癌細胞的代謝應激誘導。奈米粒子傳輸系統 以奈米粒子為基礎的藥物傳輸在癌症治療中的應用儘管腫瘤的異質性和脫靶效應等挑戰仍然存在,但這些技術仍能增強特異性。
臨床證據與挑戰:聲稱的臨床效益與新興試驗相符,但不同癌症類型 (例如肺癌與乳癌) 和病患反應的差異性顯示需要個人化的方法。2024 年 細胞 文件中引用的研究聲稱 80% 可降低耐藥基因的表達,但這需要透過更大型、多中心的試驗來驗證。文件中強調了倫理方面的考量,例如可取得性和負擔能力。 以奈米粒子為基礎的藥物輸送系統的療效回顧.
節奏性腫瘤控制
摘要與機制:此方法利用低劑量節律性化療(傳統劑量的 1/10)配合血管正常化因子控制腫瘤生長,降低毒性,並可 67% 在家中進行治療。它可將無病況生存期從 5.2 個月延長至 11.8 個月,並減少 67% 聲稱的嚴重毒性。
科學基礎:低劑量脈衝化療已獲確立,可見於 腫瘤化療針對腫瘤血管生成和免疫調節。血管正常化 新陳代謝化療與藥物再利用......,可透過增強血管功能來改善藥物輸送。研究如 低劑量節律化療:系統性文獻分析 確認副作用減少及潛在的成本效益,特別是在低收入環境中。
臨床證據與挑戰:聲稱的好處與轉移性乳癌的臨床數據相符,但療效可能因腫瘤類型和患者體質而異。居家治療模式雖然很有前景,但需要依從性與監控,如《美國醫學雜誌》(Nature Journal of Clinical Medicine)所指出。 生命之泉癌症治療中心.有關抵抗力和生活品質的長期資料需要進一步探討。
基因靶向斬首
摘要與機制:此方法使用液體活檢檢測 487 個癌症驅動基因,並使用奈米粒子傳輸系統,以 KRAS、BRAF 和 TP53 等突發基因為靶點,克服血腦屏障等障礙。它宣稱 ORR 為 67%,傳送效率提高 9 倍,尤其是針對轉移腫瘤。
科學基礎:奈米粒子傳輸是一個前沿領域,具有以下特點 奈米科技癌症治療 突顯其穿透生理屏障的能力。液體活檢,在 推動癌症基因治療可實現即時突變偵測,符合精準腫瘤學的趨勢。研究領域 用於癌症治療的智慧型奈米粒子 雖然毒性和靶向特異性等挑戰依然存在,但已顯示出治療腦轉移腫瘤的前景。
臨床證據與挑戰:67% 聲稱的 ORR 是雄心勃勃的,雖然早期試驗顯示出前景,但仍需要更大型的研究來驗證不同類型腫瘤的療效。腫瘤的異型性,正如在 進步奈米技術改善癌症靶向治療因此需要結合不同的策略。
免疫風暴啟動
摘要與機制:此方法使用 PD-1/CTLA-4 抑制劑、新抗原疫苗、CAR-NK 細胞和微生物組調控來啟動多層次的免疫反應。它宣稱 3 年存活率為 62.7%(改善 244%),復發率降低 85%,將「冷」腫瘤轉變為「熱」腫瘤。
科學基礎:結合免疫療法是一個領先的領域,包括 結合策略以發揮癌症免疫療法的最大效益 顯示增強的反應。檢查點抑制劑、新抗原疫苗和 CAR-T/NK 治療法,將在本書中討論。 癌症免疫治療的進展, 改善免疫識別。微生物組調節,在 癌症代謝重編與免疫反應儘管其一致性尚有爭議,但可影響免疫治療的結果。
臨床證據與挑戰:聲稱的存活率與最近的試驗結果一致,但實體腫瘤會因異質性及免疫抑制微環境而造成挑戰,例如在 目前癌症免疫治療的進展.有關復發和免疫記憶的長期資料需要進一步驗證。
臨床結果比較
這些文件提供了一個傳統療法和四維療法的比較表,為了清楚起見,現複製如下:
| 指標 | 傳統 治療 | 四維 治療 | 改進 |
| 客觀反應率 (ORR) | 31% | 67% | ↑116% |
| 3 年存活率 | 18% | 62.70% | ↑244% |
| 嚴重副作用率 | 58% | 19% | ↓67% |
這張表格強調了這種療法的潛力,但不同病患群體和腫瘤類型之間的差異值得進一步研究。
總結
四維無毒療法整合了最先進的策略來解決癌症的複雜性,每種方法都有新興研究的支持。然而,腫瘤異質性、臨床驗證和可及性等挑戰需要持續探索。建議的口號和標語旨在捕捉療法的承諾,並邀請大家進一步討論其改變癌症照護的潛力。